Ultrasom de Leitura Portátil Linear. O seu aliado na medicina estética sempre em movimento.
Quando se refere a desempenho, renovação e multiformidade – há um sistema de ultrassom que oferece mais.
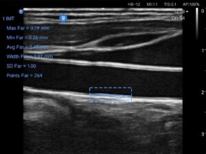
Desenvolvido especificamente para enfrentar os desafios de ambientes complexos de ultrassom, o sistema de ultrassom diagnóstico Acclarix LX9 visa fornecer diagnósticos precisos em aplicações clínicas versáteis com qualidade de imagem intransigente, fluxo de trabalho brilhante e operação fácil de usar.
A tecnologia de ultrassonografia dde zona é uma abordagem totalmente nova para aquisição e processamento de imagens de ultrassom.. O EDAN SynSight pode ultilizar todas as informações contidas no conjunto de dados de eco de retorno adquiridos em cada zona grande e, como tal, pode cobrir o campo de visão em menos ciclos de transmissão/recepção. As informações de eco brutas originais são reprocessadas retrospectivamente várias vezes no processador de domínio do canal para formar imagens ideais.
Os acessórios mencionados são vendidos separadamente.
Experimente o futuro da imagem médica com nossa solução de ultrassom portátil. Sua interface elegante e intuitiva, juntamente com recursos de última geração, garantem avaliações eficientes e precisas em vários ambientes clínicos. De Clínicas a cenários de resposta a emergências, nosso dispositivo revoluciona o diagnóstico no ponto de atendimento.








ENTRE EM CONTATO
Preencha o formulário ao lado se estiver interessado em receber as apresentações do Nano ou solicitar uma proposta comercial.
A Aesthetical Concept Lda encontra-se autorizada pelo INFARMED – Certificado Fabrico e Distribuicao 2340/DM/2023
Empresa Registada ANREEE sob numero PT002250/Pilhas PT0600298/Embalagens PT01105871
© 2025 | Aesthetical Concept – Todos os direitos reservados.